لمینت دندان یکی از روشهای درمان زیبایی دندانپزشکی است که در مناطق مختلف از جمله زعفرانیه تهران انجام میشود. در گذشته بسیاری از افراد در حسرت داشتن یک دندان سفید و مرواریدی بودهاند؛ اما امروزه با بهرهگیری از روشهای جدید و نوین میتوان به این نیاز خود پاسخ مثبت داد. لمینت دندان یکی از روشهای داشتن دندانی سفید و درخشان است که دو نوع متفاوت را پوشش میدهد. لمینت دندان دارای دو نوع سرامیکی و لومینیرز بوده که میبایست با مشورت دندانپزشک و همچنین در نظر گرفتن شرایط عمومی فرد، یکی را انتخاب کرد. این روش زیبایی علاوهبر داشتن طرفدار زیاد در ایران، در خارج از کشور نیز طرفداران بسیاری را به خود اختصاص داده؛ چراکه لمینت دندان در زعفرانیه و سایر مناطق پایتخت، به بهبود و اصلاح دندانها و طرح لبخند میپردازد.
لمینت دندان چیست؟

لمینت دندان چیست؟
در انجام لمینت دندان در تهران که گاهی به آن ونیر نیز میگویند، از یک پوسته یا روکش نازک به منظور اصلاح نواقص دندانی استفاده میشود و روی دندان قرار میگیرد. لمینت دندان که طرفداران بسیاری را در اقصی نقاط جهان داشته، ویژگیهای مثبت زیادی را به بیمار هدیه میدهد. در این روش زیبایی علاوهبر تغییر رنگ دندانها و ایجاد زیبایی و جذابیت، با قرار گرفتن لایه لمینت، دندانها از استحکام بسیاری بهرهمند میشوند. در نتیجه وظیفه لمینت دندان ایجاد رنگی جذاب و مرواریدی در دهان، هماندازه کردن دندانها، بالا رفتن استحکام دندان در برابر ضربه و غیره است.
لبخند هزارچهره: هنر انتخاب بهترین متخصص لمینت دندان در زعفرانیه
لبخند، شبیه به ستارهای است که هر بار بر صورت انسان میدرخشد، قصهای از اعتمادبهنفس و زیبایی را روایت میکند. اگر دندانهای شما نیاز به دستی هنرمند دارند تا درخششی نو پیدا کنند، زعفرانیه تهران با دندانپزشکانی که در کارشان مانند مجسمهسازان ماهر عمل میکنند، مقصدی بینظیر است. اینجا در کلینیک دندانپزشکی دکتر خسروانی، لبخندها تنها یک درمان نیستند؛ بلکه اثر هنری هستند که به دقت و مهارت طراحی شدهاند.
لبخند، زبان بیکلام زیبایی است. هر بار که میخندید، شکوه و جادوی درونی خود را آشکار میکنید. اما اگر حس میکنید که دندانهایتان به توجه بیشتری نیاز دارند تا این شکوه را دوچندان کنند، بهترین متخصص لمینت دندان در زعفرانیه همان هنرمندی است که میتواند لبخند شما را به یک شاهکار ماندگار تبدیل کند.
لمس جادوی دندانپزشکی در زعفرانیه
در انتخاب بهترین دندانپزشک لمینت دندان در زعفرانیه، شما تنها یک دندانپزشک انتخاب نمیکنید، بلکه هنرمندی را مییابید که لبخند شما را به یک شاهکار تبدیل میکند. لمینت دندان همچون لباسی لوکس است که بر قامت دندانها مینشیند و هر جزئی از آن نیازمند دقت، تخصص و زیباییشناسی است.
چرا زعفرانیه؟
زعفرانیه فقط یک محله نیست؛ بلکه نقطهای است که در آن، استانداردهای زندگی و سلامت در بالاترین سطح قرار دارند. دندانپزشکان این منطقه، با تکیه بر سالها تجربه و استفاده از تجهیزات پیشرفته، خدماتی ارائه میدهند که در نوع خود بینظیر است. لمینت دندان در زعفرانیه تهران نهتنها درمانی برای دندانهاست، بلکه تجربهای متفاوت و لذتبخش است که با رضایت خاطر همراه است.
هزینه، سرمایهای برای لبخند ابدی
وقتی صحبت از هزینه میشود، برخی ممکن است به فکر فرو روند. اما هزینهای که برای لمینت دندان در زعفرانیه میپردازید، چیزی فراتر از یک مبلغ مالی است. این هزینه، سرمایهای است برای داشتن لبخندی که تا سالها به شما اعتمادبهنفس میبخشد. تجربه نشان داده که کیفیت خدمات در زعفرانیه، به لطف استفاده از مواد درجه یک و تخصص بالای پزشکان، کاملاً ارزش این سرمایهگذاری را دارد.
چگونه هنرمند لبخند خود را بشناسیم؟
پیدا کردن بهترین دکتر لمینت دندان در زعفرانیه تهران، مانند یافتن نقاشی است که بتواند بوم سفید لبخند شما را با دقت و ظرافت رنگآمیزی کند. برای این کار، به این نکات توجه کنید:
- نمونه کارهای دندانپزشک را مانند گالری هنری مشاهده کنید.
- نظرات افرادی که قبلاً از خدمات بهره بردهاند، همچون داستانهای شفاهی درباره مهارت پزشک است.
- جلسه مشاوره را فرصتی برای درک جزئیات و انتخاب آگاهانه بدانید.
تجهیزات، ابزار دست جادوگران دندانپزشکی
دندانپزشکان زعفرانیه، بهویژه کسانی که در حوزه زیبایی دندان فعالیت دارند، از پیشرفتهترین تجهیزات بهره میگیرند. این تجهیزات مانند قلم نقاشی در دستان هنرمند دندانپزشک است که به خلق لبخندی بینقص و درخشان منجر میشود. تکنولوژیهای مدرن، دقت و ماندگاری لمینت دندان را چندین برابر میکنند.
دقت در انتخاب مواد
برای داشتن لبخندی طبیعی و ماندگار، استفاده از مواد باکیفیت بسیار مهم است. بهترین متخصص لمینت دندان در زعفرانیه همیشه از موادی بهره میگیرد که نهتنها زیبایی دندانها را دوچندان میکند، بلکه ماندگاری طولانیمدتی نیز دارند. مواد باکیفیت تضمین میکنند که لبخند شما همچون روز اول، زیبا و درخشان باقی بماند.
لمس هنر در محیطی آرام
درمان دندانپزشکی تنها به مهارت پزشک وابسته نیست؛ محیط مطب نیز نقش مهمی ایفا میکند. یک مطب مدرن و بهداشتی، همچون پناهگاهی آرامشبخش است که تجربه درمان را برای شما لذتبخش میکند. در لمینت دندان در محدوده زعفرانیه، محیط مطبها با دقت طراحی شدهاند تا حس آرامش و اطمینان را به بیماران منتقل کنند.
زمانی برای برنامهریزی
محبوبیت دندانپزشکان برتر زعفرانیه باعث میشود که گرفتن وقت از آنها چالشبرانگیز باشد. توصیه میشود از سیستمهای آنلاین برای رزرو نوبت استفاده کنید و با برنامهریزی دقیق، بهترین زمان ممکن را برای درمان خود انتخاب کنید.
قدرت یک مشاوره تخصصی
مشاوره اولیه، فرصتی طلایی برای آشنایی با پزشک و روشهای پیشنهادی اوست. در این مرحله میتوانید تمام سوالات و نگرانیهای خود را مطرح کنید و با بررسی نمونه کارها، تصمیمی آگاهانه بگیرید. بهترین دندانپزشک زیبایی زعفرانیه کسی است که به سوالات شما با صبر و شفافیت پاسخ دهد.
نقش بیماران در شناخت پزشک
تجربیات بیماران قبلی مانند چراغی است که مسیر شما را روشن میکند. با مطالعه نظرات آنها و مشاهده عکسهای پیش و پس از درمان، میتوانید به شناخت بهتری از مهارت پزشک دست یابید.
لبخند، سرمایهای برای زندگی
دندانها فقط بخشی از چهره شما نیستند؛ بلکه زبان خاموشیاند که با دیگران سخن میگویند. انتخاب بهترین متخصص لمینت دندان در زعفرانیه میتواند نهتنها زیبایی، بلکه اعتمادبهنفس و جذابیت شما را نیز افزایش دهد.
لبخند شما، قصهای جاودان
هر لبخند داستانی دارد، و داستان شما میتواند در زعفرانیه آغاز شود. با انتخاب بهترین متخصص لمینت دندان در زعفرانیه، نهتنها زیبایی دندانهای خود را بهبود میبخشید، بلکه اعتمادبهنفس و آرامش خاطر را برای سالها تجربه خواهید کرد.
برای گرفتن نوبت از بهترین دکتر لمینت دندان در زعفرانیه تهران چه کنیم؟

برای گرفتن نوبت از بهترین دکتر لمینت دندان در زعفرانیه تهران چه کنیم؟
برای گرفتن نوبت از بهترین دکتر لمینت دندان در زعفرانیه تهران، ابتدا باید تحقیقات دقیقی انجام دهید تا بهترین دندانپزشکان متخصص در این زمینه را پیدا کنید. یکی از مناطق معروف برای دریافت خدمات لمینت دندان در تهران، محله زعفرانیه است. این منطقه به دلیل حضور دندانپزشکان متخصص و با تجربه در زمینه لمینت دندان شهرت دارد. منطقه زعفرانیه به عنوان یکی از مناطق گران قیمت تهران، محل مناسبی برای افرادی است که به دنبال خدمات با کیفیت بالا در حوزه دندانپزشکی هستند.
- اگر در زعفرانیه تهران زندگی میکنید یا قصد دارید از دندانپزشکان این منطقه خدمات دریافت کنید، میتوانید با مراجعه به کلینیکهای دندانپزشکی معروف این محله، مشاوره بگیرید. بسیاری از کلینیکهای دندانپزشکی در این منطقه، امکان مشاوره آنلاین دندانپزشک لمینت زعفرانیه را نیز فراهم کردهاند. این ویژگی به شما این امکان را میدهد که بدون نیاز به مراجعه حضوری، از وضعیت دندانهای خود مطلع شوید و برنامهریزی مناسبی برای درمان داشته باشید.
- در سال 1403، تکنولوژیهای جدیدی در حوزه دندانپزشکی معرفی شدهاند که انجام لمینت دندان را سریعتر و با کیفیت بالاتری ممکن میکنند. بهترین دندانپزشکان لمینت دندان در زعفرانیه از این تکنولوژیها بهره میبرند تا نتایج بهتری برای بیماران خود ارائه دهند. به همین دلیل، انتخاب دندانپزشکی که با جدیدترین تکنولوژیها آشنا باشد، میتواند تاثیر زیادی در نتیجه نهایی لمینت دندان شما داشته باشد.
- نکته مهم دیگر این است که برای گرفتن نوبت از دندانپزشک در مناطق گران قیمت مثل زعفرانیه، بهتر است از روشهای آنلاین استفاده کنید. بسیاری از کلینیکهای دندانپزشکی در زعفرانیه، سیستمهای رزرو آنلاین دارند که به شما این امکان را میدهد تا به راحتی و بدون نیاز به حضور فیزیکی، نوبت خود را رزرو کنید. این روش نه تنها باعث صرفهجویی در وقت میشود، بلکه امکان مقایسه خدمات کلینیکهای مختلف را نیز فراهم میکند.
- همچنین، هنگام انتخاب دندانپزشک برای لمینت دندان، بهتر است به تجربیات قبلی بیماران توجه کنید. کلینیکهای معتبر در محله زعفرانیه اغلب نمونهکارهای قبلی خود را به شما نشان میدهند تا بتوانید بهتر تصمیمگیری کنید. این کار به شما کمک میکند تا با دید بازتری به انتخاب دندانپزشک خود بپردازید و از نتایج درمان رضایت بیشتری داشته باشید.
- اگر در نهایت تصمیم به لمینت دندان در زعفرانیه گرفتید، توصیه میشود قبل از هرگونه اقدامی، یک جلسه مشاوره حضوری یا آنلاین با دندانپزشک خود داشته باشید. این جلسه به شما کمک میکند تا انتظارات خود را با دندانپزشک در میان بگذارید و سوالات خود را مطرح کنید. همچنین، دندانپزشک نیز میتواند برنامه درمانی مناسب برای شما طراحی کند و شما را از تمامی جوانب این فرایند آگاه سازد.
- همچنین، پیدا کردن بهترین دکتر لمینت دندان در زعفرانیه تهران نیازمند بررسی دقیق و توجه به جزئیات است. از آنجا که این منطقه به دلیل سطح بالای خدمات دندانپزشکی شناخته شده است، شما میتوانید با اطمینان بیشتری از دندانپزشکان این محله نوبت بگیرید و از خدمات با کیفیت بالایی بهرهمند شوید.
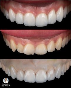
کاربرد لمینت دندان در زعفرانیه تهران
در زعفرانیه تهران شاهد اجرای لمینت دندان هستیم که دندانپزشکان برای ترمیم و زیباسازی دندانها بیمار این را به کار میگیرند. با توجه به اینکه لمینت دندان از چندین طیف رنگی متفاوت برخوردار است، میتواند هر سلیقه و نظری را پاسخ دهد؛ اما افرادی که از مشکلات زیر رنج میبرند، میتوانند از لمینت دندان استفاده کنند.
- افرادی که دندانهای شکسته دارند.
- افرادی که از دندانهای بدرنگ برخوردار هستند.
- لبپریدگیهایی که در برخی از دندانها ایجاد شده است.
- افرادی که دندانهای ترکخورده دارند.
- افرادی که دندانهای نامتوازن و ناهمتراز داشته باشند.
- افرادی که دندانهای کج دارند؛ اما این میزان از کج بودن اندک باشد.
انواع لمینیت دندان در زعفرانیه تهران
لازم به ذکر است که لمینتها انواع مختلف نداشته و تنها در ضخامت پوستهای که روی دندان قرار میگیرد و همچنین جنس هر روکش متفاوت هستند. برای مثال لمینتهای معمولی دارای ضخامت 0.5 تا 0.7 میلیمتر بودهاند و نوع دیگر لمینتها که لومینیرزها نام دارند، ضخامتی کمتر داشته و در واقع بدون تراش هستند. تمامی این روشها با بالاترین کیفیت و راندمان در زعفرانیه تهران اجرا میشوند.
لمینت دندان سرامیکی در زعفرانیه

لمینت دندان سرامیکی در زعفرانیه
در انجام لمینت سرامیکی که در زعفرانیه تهران قابل اجرا است، از روکشهای بسیار نازک استفاده میشود. این پوستههای نازک که سرامیکی هستند همانند ناخن مصنوعی، روی دندان قرار میگیرند. قطر این سرامیکها در حدود 5 تا 6 میلیمتر است که با توجه به اندازه دندان هر فرد، ساخته خواهند شد. این لایه های آماده را دندانپزشک روی دندان بیمار قرار میدهد. قبل از نصب لمینت، دندانپزشک تراشهایی را روی دندان بیمار ایجاد خواهد کرد؛ سپس باید لمینت نصب گردد که در زمان قرار دادن این روکشها نیاز است تا از چسب مخصوص استفاده شود تا این روکشها روی دندان قرار بگیرند.
لومینیرز
لومینیرز دندان که یکی دیگر از روشهایی است که در زعفرانیه تهران و اقصی نقاط کشور قابل قابل اجرا بوده، یک روش غیرتهاجمی است. در این روش که از روکشهای بسیار نازکتر که در حدود 0.1 تا 0.3 میلیمتر هستند استفاده میشود. دلیل غیرتهاجمی بودن این روش، عدم ایجاد تراش روی دندان است که به مینای دندان آسیبی وارد نخواهد شد. نصب و اجرای لومینیرزها بسیار سادهتر و راحتتر از لمنیتهای معمولی است که ترجیح دندانپزشک برای طرح لبخند، بهره گیری از این روش میباشد.
مقایسه کامپوزیت ونیر و لمینت سرامیکی در زعفرانیه تهران
لمینت سرامیکی و کامپوزیت ونیر دارای تفاوتهایی با یکدیگر هستند که باعث شده مزایا و معایب متفاوتی داشته باشند. هر فرد که تصمیم بر اجرای لمنیت دارد بهتر است از این مقایسه اطلاع داشته تا بتواند بهترین گزینه را با توجه به شرایط و توقعات خود انتخاب کند.
- قیمت: لمینت سرامیکی قیمت بالاتری داشته، در حالی که قیمت کامپوزیت ونیر متوسط است.
- ماندگاری: لمینت سرامیکی دارای ماندگاری 10 تا 15 ساله است، در حالی که کامپوزیت ونیر در حدود 5 الی 7 سال ماندگار خواهد بود.
- طول درمان: مدت زمان درمان لمینت سرامیکی دو نوبت 15 روزه است؛ اما انجام کامپوزیت ونیر در یک روز به پایان میرسد.
- برگشتپذیری: لمینت سرامیکی امکان برگشتپذیری نداشته؛ اما کامپوزیت ونیر این قابلیت را دارد.
- دامنه کاربرد: لمینت سرامیکی برای بسیاری از مشکلات دندانی قابل اجرا است؛ اما کامپوزیت ونیر برای مشکلات جزئی مورد استفاده قرار میگیرد.
- نیاز به لابراتوار دندانپزشکی: لمینت سرامیکی به لابراتوار نیاز دارد؛ اما کامپوزیت ونیر نیاز به آن نخواهد داشت.
- لکهپذیری: لمینت سرامیکی در برابر لکه مقاوم تر است؛ اما امکان ایجاد لکه روی کامپوزیت ونیر وجود دارد.
- تراش دندان: لمینت سرامیکی نیاز به ایجاد تراش روی دندان دارد؛ اما کامپوزیت ونیر از این قاعده مستثنی است.
- نصب لمینت: لمینت سرامیکی نصب دشوارتری دارد؛ اما کامپوزیت از نصب سادهتر و راحتتری برخوردار است.
- ترمیم لمینت: لمینت سرامیکی همواره به یک شکل بوده و نیاز به ترمیم ندارد؛ اما نیاز است تا هرچند سال یکبار کامپوزیت ونیر را ترمیم کرد.
مراحل لمینت دندان در زعفرانیه تهران چگونه است؟
از آنجایی که نصب لمینت دندان یکی از مهمترین قسمتها به حساب میآید و اقدامات متفاوتی قبل و حین انجام لمینت دندان در زعفرانیه تهران صورت میپذیرند، در نتیجه بهتر است تا از روند اجرا و مراحل لمینت دندان آگاهی یافت. انجام لمینت دندان به دو جلسه نیاز دارند که گاهی بنابر دلایلی ممکن است که بیمار به سه جلسه مراجعه به دندانپزشک متخصص لمینت دندان در زعفرانیه تهران نیاز داشته باشد تا تمامی مراحل اجرا شوند.
مرحله اول؛ مشاوره
در مرحله اول شاهد یک جلسه مشاوره خواهید بود تا تمامی اتفاقات، شرایط و… مورد بررسی قرار بگیرند. در این جلسه بیمار تمامی توقعات و انتظارات خود را برای دندانپزشک بازگو میکند. بیمار باید تمامی بیمارها و شرایط عمومی خود را با متخصص در میان بگذارد تا در حین انجام نصب و اجرا، مشکلی به وجود نیاید. همچنین دندانپزشک میبایست روند کار را برای بیمار بازگو نماید و در صورت نیاز به بررسی دقیقتر و بهتر، آزمایشات و عکسبرداریهایی لازم است را تجویز کرده تا بیمار پس از پشت سر گذاشتن این مراحل، آنها را نزد دندانپزشک برپه و تصمیم نهایی اتخاذ گردد.
مرحله دوم؛ انتخاب رنگ
مهمترین کار برای انجام لمینت دندان، انتخاب رنگ است. انتخاب رنگ لمینت سلیقهای بوده و برخی از افراد تمایل دارند تا رنگی مشابه رنگ دندانهای خود را انتخاب کنند و برخی دیگر مایل هستند که رنگی سفیدتر و براق را برگزینند. در حالت کلی انتخاب رنگ لمینت امری حساس و سخت بوده که بیمار باید توجه بسیاری در این زمینه داشته باشد. البته در صورتی که با مشکل روبهرو شدهاید و نتوانستید یکی از رنگها را انتخاب نمایید، میتوانید از دندانپزشک خود کمک بگیرید؛ چراکه با بهرهگیری از تجربیات دندانپزشک میتوان از بد جلوه نمودن دندانها جلوگیری کرد.
مرحله سوم؛ تراش مینای دندان
در این مرحله باید مینای دندان شما تا حدی تراشیده شود. دلیل برداشته شدن مینا، قرارگیری بهتر لمینت روی دندان است. این میزان از تراش برابر میزان ضخامت روکش یا کمتر از آن خواهد بود. در مرحله بعد، از دندانهای بیمار قالبگیری خواهد شد تا روکشهای مناسب با ابعاد دندان شما ساخته شوند.
مرحله چهارم؛ نصب لمینت
در مرحله آخر که مربوط به نصب روکش لمینت روی دندانهای بیمار است، در ایم مرحله تمیز بودن دندانها بسیار مهم بوده که باید به آن توجه شود. ایجاد زبری روی دندان سبب افزایش اصطکاک و قرارگیری بهتر لمینت روی دندان میگردد. لمینت ها با چسب مخصوص به دندانها نصب شده و دندانپزشک با استفاده از نور خاصی، آنها را در جای خود ثابت میکند. همچنین باید پس از گذشت دو هفته از نصب لمینت روی دندان، مجددا به مطب مراجعه کرده و دندانهای خود را به دندانپزشک مربوطه نشان دهید تا اتصالات بین دندان و لمینت مورد بررسی قرار بگیرند.
مزایای لمینت دندان در زعفرانیه تهران

مزایای لمینت دندان در زعفرانیه تهران
سوالی که برای اکثر افراد مطرح میگردد این است که لمینت دندان چه مزایا و ویژگیهایی بهدنبال دارد که سبب جذب افراد شده است. مزایای لمینیت دندان در زعفرانیه تهران بسیار زیاد و حائز اهمیت هستند که از جمله آنها میتوان به موارد زیر اشاره کرد:
- جلوگیری از ایجاد ترک و شکستگی در دندانها
- حفظ شکل کلی و ساختار دندان
- اصلاح فاصلههای بین دندانی
- پوشاندن عیوب ظاهری دندان ها
- ایجاد لبخندی زیبا
- برطرف کردن مشکلات جزئی دندانها
- جلوگیری از دیده شدن دندانهای شکسته
- اصلاح رنگ دندانها
- حفظ دندان در برابر مشکلاتی نظیر فرسودگی و ایجاد سایش
معایب لمینیت دندان در زعفرانیه
لمینت دندان نیز همانند دیگر درمانها علاوهبر داشتن مزایای چشمگیر، معایبی را نیز به همراه دارد؛ اما در مقایسه با مزایای آن قابل چشمپوشی هستند. از مهمترین معایبی که میتوان به آنها اشاره کرد، عبارتند از:
- اگر لمینت دندان به دقت و اصولی نصب نشده باشد، امکان ایجاد مشکلاتی نظیر جمع شدن پلاک و باکتری در بین دندانها وجود خواهد داشت که در صورت بروز این مشکل، سبب ایجاد عفونت در دهان خواهد شد.
- اگر در زمان انتخاب مواد، از موادی باکیفیت استفاده نشود، امکان ایجاد آلرژی نسبت به مواد مصرف شده وجود دارد.
- بهتر است از یک دندانپزشک ماهر در زعفرانیه تهران استفاده کنید تا ارتفاع نامناسبی برای لمینت انتخاب نکند تا مشکلی در جویدن غذا به وجود نیاید.
- در صورت عدم توجه به بهداشت دهان و دندان، امکان پوسیدگی و ایجاد پلاک وجود دارد.
- اگر از دندانها مراقبت نشود امکان لق شدن دندان وجود داشته که لمینت دندان میبایست تعویض شود.
- امکان ایجاد پوسیدگی دندان بهدلیل وجود فاصله بین لایه لمینت و دندان در صورت عدم رعایت بهداشت دهان و دندان وجود دارد.
طول عمر لمینت دندان چقدر است؟
طول عمر لمینت دندان یکی از نکات مهمی است که بیمار باید از آن آگاهی یابد. خوشبختانه لمینتهای سرامیکی از طول عمر بالایی برخوردار هستند. همچنین ماندگاری و دوام این لمینتهای نسبت به دیگر روشها بیشتر خواهد بود. معمولا طول عمر لمینتهای سرامیکی بین 10 تا 15 سال است که با رعایت برخی از نکات و حفظ بهداشت دهان و دندان میتوان این میزان ماندگاری را به 20 سال نیز رساند. البته باید توجه داشت که وجود دندانپزشک حاذق و با تجربه نیز میتواند بر طول عمر آن تاثیر مستقیم بگذارد. در واقع لمینیت دندان در زعفرانیه تهران در صورتی که زیر نظر متخصص صورت گیرد طول عمر بالایی دارد.
چه عواملی بر طول عمر لمینت دندان تاثیر می گذارند؟
برای داشتن لمینتهایی با طول عمری مناسب و معقول باید به برخی از نکات توجه کرد تا عمر و دوام لمنیت دندان به 20 سال افزایش یابد. عوامل زیر بر طول عمر لمنیت دندان اثر میگذارند که باید به آنها توجه ویژهای داشت.
- عادات بد غذایی
- بهداشت و سلامت دهان و دندان
- پوسیدگی در اطراف لمینت
- دندان قروچه یا جویدن ناخن
- بالا رفتن سن
- اصابت جسم سخت به صورت