دندان پر شده و دردی که به همراه دارد
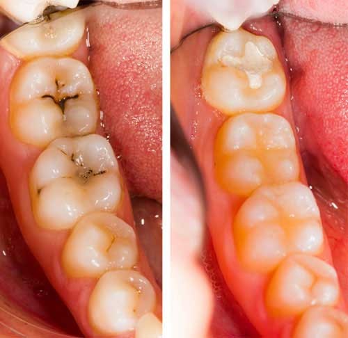
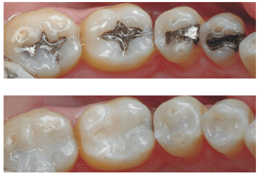
معمولاً دندان هایی که دچار پوسیدگی شده اند را باید به کمک پر کردن با موادی مخصوص توسط دندانپزشک درمان کرد. اگر با درد دندان مواجه شده باشید و در آن هنگام به مطب دندانپزشکی مراجعه کنید خواهید دید که بهترین دندانپزشک تهران یا سایر شهرها به کمک روش های درمانی سعی در درمان دندان شما خواهد کرد. روش های درمانی برای کنترل درد دندان و سلامت دندان های شما شامل کشیدن و پر کردن دندان و عصب کشی دندان می شود. اکثر مواقع اگر دندان شما بیش از حد پوسیده و تخریب نشده باشد دندانپزشک سعی می کند بدون اینکه دندان را بکشد، آن را درمان کند. به همین منظور از پر کردن دندان کمک می گیرد. مزیت این نوع درمان این است که به هنگام اقدامات دندانپزشک بر روی دندان هیچگونه درد و خونریزی در پی نخواهد داشت، زیرا دقیقاً چند دقیقه قبل از معالجه دندانپزشک به لثه های اطراف دندان مورد نظر بی حسی تزریق می شود؛ اما به هنگامی که اثر بی حسی از بین برود، ممکن است شما کمی احساس درد، گزگز و یا سوزش کنید. این عوارض پس از از بین رفتن اثرات بی حسی معمولاً به هنگام دم و بازدم فرد، نوشیدن مایعات سرد یا گرم و هنگام مسواک زدن و نخ کشیدن دندان ها ممکن است رخ دهد؛ اما نگران نباشید، تمام این عوارض کوتاه مدت است و پس از مدت کوتاهی به طور کلی از بین خواهند رفت؛ اما اگر از سه الی هفت روز بیشتر طول کشید، سعی کنید دومرتبه نزد دندانپزشکتان بروید و موضوع را با وی در میان بگذارید.
چرا پس از پر کردن دندان، فرد دچار دندان درد می شود؟
در این نوشته می خوانید:

پر کردن دندان
عوامل گوناگونی وجود دارد که سبب می شود فرد پس از پر کردن دندان دچار درد شود. یکی از این عوامل حساس شدن دندان ها می باشد که ممکن است دندان پر شده در مقابل جویدن غذاهای سفت، داغ، سرد و نوشیدن مایعات خیلی سرد و خیلی گرم از خود حساسیت نشان دهد و دچار درد شود. این حساسیت تقریبا پس از مدت کوتاهی از بین خواهد رفت و جای نگرانی نیست. یکی دیگر از عوامل ایجاد درد در دندان پر شده طریقه عملکرد و تجربه دندانپزشک شما می باشد. اگر دندانپزشک زیبایی و ترمیمی تهران و سایر شهرها ماده پر کردنی را به طور صحیحی بر روی دندان قرار ندهد یا اینکه مابین دندان و ماده پر کردنی حفره و درز کوچکی باز بماند سبب ایجاد درد در ناحیه پر شده می شود. اگر جنس مواد پر کردنی از نوع مرغوب نباشد می تواند در آینده سبب ترک و ایجاد شکاف بر روی دندان پر شده شود و در نهایت منجر به سوزش و درد دندان خواهد شد. ملتهب شدن و عفونت پالپ دندان دیگر عارضه ای است که سبب درد دندان پر شده خواهد شد. شاید برایتان سوال پیش آید که پالپ دندان در کدام قسمت وجود دارد؟ در پاسخ به این سوال باید بگوییم که پالپ در قسمت زیر عاج دندان و داخل کانال ریشه وجود دارد. اگر به هنگام عملیات پر کردن دندان، به پالپ دندان آسیب وارد شود. در این زمان درد کمی به مدت چند روز متوالی بیمار را درگیر خواهد کرد.
عوامل تأثیرگذار بر افزایش درد دندان پر شده کدامند؟
نکته مهم این است که متخصص دندانپزشکی زیبایی و ترمیمی بتواند پوسیدگی دندان را به طور کامل از روی دندان بردارد. اگر پوسیدگی به طور کامل برداشته نشود و دندان به همان صورت پر شود، بیمار به دردسر می افتد. در اینگونه مواقع می توان حدس زد که با گذشت زمان پوسیدگی بر روی سطح دندان پخش خواهد شد و بدون اینکه متوجه شوید به قسمت داخلی پالپ نیز رجوع می کنند و سبب عفونت پالپ خواهد شد. در اینگونه مواقع اگر شما درد داشتید باید به نزد دندانپزشک مجربی بروید و او طبق دستورالعمل های مخصوص به کانال تراپی و… بپردازد. حتماً می دانید برای پر کردن دندان های پوسیده، دندانپزشک نیاز دارد تا مواد متنوعی را با هم ترکیب کرده و برای پر کردن آن استفاده نمایند. در برخی موارد ممکن است بیمار به یکی از این مواد حساسیت نشان دهد. حساسیت وی احتمالاً با سوزش، خارش و درد دندان همراه است. اگر چنین مشکلی برایتان پیش آمد، سریعاً نزد دندانپزشکتان بروید تا مواد را از روی دندان شما بردارد و مواد دیگری را جایگزین کند. اگر دندانپزشک بیش از حد از مواد پر کردنی برای درمان و پوشاندن حفره ایجاد شده دندان مدنظر استفاده کند، می تواند عللی از ایجاد درد و مشکلاتی از این قبیل شود. دلیل این امر می تواند بالا آمدن سطح دندان و در نتیجه دشوار شدن جویدن خوراکی ها باشد. به همین منظور به شما توصیه می کنیم که اگر به چنین مشکلی برخورد کردید سعی کنید در اسرع وقت نزد دندانپزشکتان بروید تا او مواد اضافه را توسط کاغذ کاربنی مخصوصی از روی حفره خارج کند. حتماً برای شما نیز پیش آمده است که با وجود اینکه دندان پر شده هیچ مشکلی ندارد باز هم فرد در آن ناحیه دردی را احساس می کند. طی بررسی هایی که بر روی چنین بیمارانی انجام شده است احتمال داده اند که اگر هیچ یک از مشکلات بالا در ایجاد درد دخیل نیستند، پس عاملی مانند درد ارجاعی (دردی که از دندان های مجاور به دندان پر شده وارد می شود) در به وجود آمدن دندان نقش دارد. معمولاً این نوع درد به هیچ درمانی نیاز ندارد و پس از گذشت مدتی کوتاه از بین خواهند رفت.

پر کردن دندان
چگونه درد دندان پر شده را التیام ببخشیم؟
همان طوری که در متن بالا ذکر شد درد دندان پر شده به دلایل گوناگونی اتفاق می افتد. این درد به هر دلیلی که باشد در برخی موارد غیر قابل تحمل خواهد شد. بدین منظور بیماران می توانند از روش های زیر برای درمان سریع تر و تسکین درد دندانشان بهره گیرند. اول از همه بگوییم خوردن خوراکی های سفت و غذاهایی با دمای خیلی بالا یا دمای خیلی پایین تا چند هفته ممنوع می باشد.( البته تا جایی که می توانید رعایت این نکته را ابدی کنید تا سلامت دندان ها را برای مدت بیشتری تضمین کنید). از خوردن میوه های ترش و مرکبات و لبنیات ترش مزه جدا خودداری کنید. حتماً از خوردن نوشیدنی های گازدار، نوشیدنی های الکلی و نوشیدنی های کافئین دار مانند قهوه دوری کنید. حتماً سعی کنید خوراکی ها را با سمتی بجوید که دندان پر شده در آن قرار نگرفته است. سعی کنید در نخ کشیدن و مسواک زدن را با حرکت های آرام انجام دهید. در صورتی که دندان های شما بیش از حد از خود حساسیت نشان می دهد سعی کنید خمیر دندان های مخصوص دندان های حساس را جایگزین خمیر دندان های معمولی کنید. نخ دندان و مسواک انتخابی در این زمان باید حتماً نرم باشند. در صورت وجود درد می توانید از مسکن های ضد التهاب مانند ایبوپروفن استفاده کنید تا به کاهش درد کمک شود. لازم به ذکر است که تمامی نکات ذکر شده تنها راه حلی است برای التیام درد تا هنگامی که خود را نزد دندانپزشک برسانید. در صورتی که درد دندان پر شده تان پس از سه الی یک هفته آرام نگرفت حتماً نزد دندانپزشک خود بروید و اوضاع دندانتان را برای وی توضیح دهید. قابل ذکر است؛ رعایت دستورات دندانپزشک مهم ترین عامل برای رهایی از درد دندان محسوب می شود.




دیدگاه خود را ثبت کنید
تمایل دارید در گفتگوها شرکت کنید؟در گفتگو ها شرکت کنید.